Emergencies
Enhance your smile. beauty.
Emergency Dentist in Fuengirola
Dental emergencies can happen when you least expect them. That’s why International Dental Centre offers a trusted emergency dentist in Fuengirola service to ensure you receive prompt, professional treatment for any urgent situation. Our goal is to relieve pain quickly and protect your smile with expert care. We know how important it is to relieve pain and solve urgent dental problems to restore your well-being and peace of mind. That is why we do everything possible to attend to patients the same day they contact us, providing a high-quality dental emergency service in Fuengirola.

What Do Our Emergency Treatments Include?

Acute Dental Pain
If you are experiencing severe dental pain, it may be a sign of an infection, advanced decay or a problem with the root of the tooth. Our team will assess your situation and provide the appropriate treatment to relieve the pain and treat the underlying cause.

Inflammation or Swelling
Swelling in the mouth or face can be a sign of a serious infection that requires immediate attention. We perform comprehensive evaluations to determine the cause of the swelling and offer effective treatments to reduce it and prevent complications.

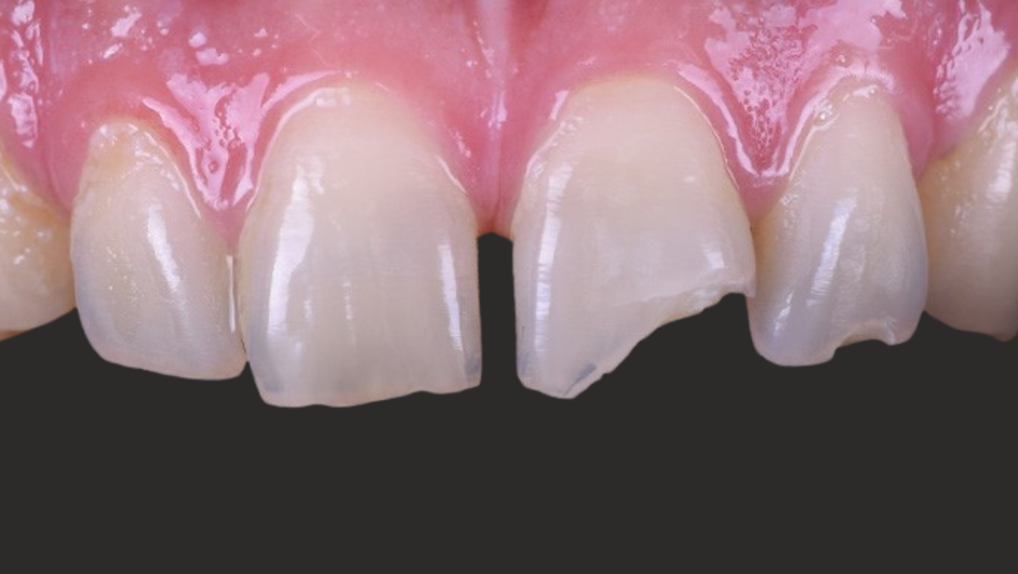
Broken or fractured teeth
A broken or fractured tooth can cause pain, affect chewing function and aesthetics. We offer emergency repairs for damaged teeth, including fillings, temporary or permanent crowns, and other treatments as needed.

Other Dental Emergencies
If you experience any other dental emergencies, such as ongoing bleeding, loss of a filling or crown, or soft tissue injuries in the mouth, our team is here to help. We provide quick diagnosis and appropriate treatments for every situation.

Acute Dental Pain
If you are experiencing severe dental pain, it may be a sign of an infection, advanced decay or a problem with the root of the tooth. Our team will assess your situation and provide the appropriate treatment to relieve the pain and treat the underlying cause.

Inflammation or Swelling
Swelling in the mouth or face can be a sign of a serious infection that requires immediate attention. We perform comprehensive evaluations to determine the cause of the swelling and offer effective treatments to reduce it and prevent complications.

Broken or fractured teeth
A broken or fractured tooth can cause pain, affect chewing function and aesthetics. We offer emergency repairs for damaged teeth, including fillings, temporary or permanent crowns, and other treatments as needed.

Other Dental Emergencies
If you experience any other dental emergencies, such as ongoing bleeding, loss of a filling or crown, or soft tissue injuries in the mouth, our team is here to help. We provide quick diagnosis and appropriate treatments for every situation.
Dental Emergency Assessment Form
To expedite your care in the event of a dental emergency, we ask that you complete the form below. This will help us to better understand your situation and prepare for your arrival at the clinic. Please indicate the severity of your symptoms in the following categories:
To ensure that you receive the best possible care, it is important that you provide us with the most accurate and detailed information. Our team will review your form and contact you as soon as possible to arrange a same-day appointment, if necessary.
Quick Contact for Dental Emergencies
Don't hesitate to contact us immediately if you experience a dental emergency. Our contact number is available for urgent situations, and our team is ready to provide you with the care you need to relieve pain and resolve any urgent dental issues. At International Dental Centre, your health and well-being are our priority.
We're here to provide you with a fast and efficient service, making sure you get the emergency dental care you need to smile with confidence again. Whether you need to repair a damaged tooth, replace an amalgam filling or are considering a more extensive dental restoration, we are here to help. Our goal is to give you a healthy, beautiful smile that you can wear with confidence. Visit us in Fuengirola and find out how our restorative dentistry treatments can improve your quality of life!